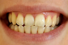
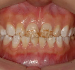
尴尬牙色-氟斑牙、四环素
牙,牙齿颜色异常
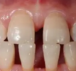
过大牙缝-牙缝大,说话
漏风,工作漏财
牙齿缺损-牙齿咀嚼功能降低
加大肠胃负担
异形牙齿-牙齿过小影响颜
值、发音、呼吸

破坏牙齿完整性

造成牙槽骨萎缩

咀嚼功能减退

食物嵌塞牙齿松动

社交恐惧

缺乏自信

形象打折

自尊受挫

拍照严肃

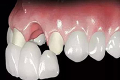
牙齿缺损

烤瓷牙失败

牙齿缺失

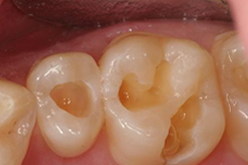
龋 齿

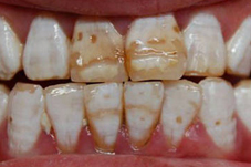
四环素牙

氟斑牙

黄 牙

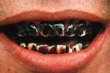
黑 牙
01收集顾客资料
02仿真设计及评估调整
03确认修复方案
04比色备牙
053D数码口扫
06数字化设计与切削
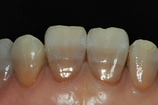
07形态颜色调整
08试戴粘接完成修复
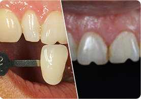
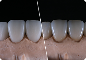
新桥口腔仿真修复含牙贴面、全瓷冠、嵌体仿真修复等。通过融合DSD美学 设计、颜面设计、红白美学等牙科美学理念,结合牙科技术,结合牙齿形态、色泽、功能进行综合设计,重塑完美笑线。其拥有的加工站配备数字化修复设备,实现 椅旁修复的医技患配合模式,缩短了修复时间,从取像,到设计,再到研磨完成,可让顾客患者全程可视、亲自参与到修复方案定制。


