黄牙、黑牙是最常见的异色牙,很多爱美人士都深受其害,什么时候都不敢开怀地露齿大笑,别提有多郁闷了!有的人还因为黄牙、黑牙而变得自卑、敏感,生活也因此受到了严重的影响......
迷人牙齿色泽
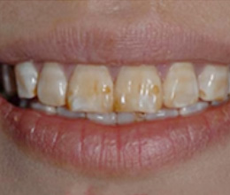
明显黄牙色泽
外源性色素牙
氟斑牙
外源性原因导致牙齿变黄、变黑如果您常常有以下习惯,会使牙齿变黄、变黑吸烟
喝茶
喝咖啡
饮红酒
饮用有色饮料
药物导致牙齿变色一些药物会导致牙齿变色,典型的有四环素牙、氟斑牙
牙龈病导致牙齿变色牙龈坏死或者根管治疗不完全导致的牙齿灰暗变色
自然皓齿美白自然皓齿美白可分为居家型及诊室型。居家型适用于轻中度外源性黄牙,而诊室型适用于轻重度外源性黄牙。
POLA美白适用于轻中度外源性着色牙、黄牙、咖啡牙、烟渍牙。
氟斑牙强效美白在涂抹美白材料后,祛除牙体染色,适用于轻中氟斑牙。
专业口腔医师的审美观牙齿美白过程中,医生需要对患者脸型、唇形、肤色等进行牙色的选择及设计,才能达到自然、美观的效果
温馨提示无论是炫齿美白、自然皓齿美白、POLA美白还是氟斑牙强效美白,选择专业的口腔医院医师进行治疗非常重要,这些技术对医生的医学理论功底、操作技术以及审美观均有较高的要求。
在美白后一周内,尽量避免食用:可乐、红酒、咖啡、吸烟

任何可能在白衬衫上染色的特质都有可能影响您的牙齿美白
在美白后一周内,建议您食用白色特色的食物:牛奶、酸奶、鸡肉、米饭

刚做完美白若有些酸软感,可以在嘴里含温水,可大大降低酸软的症状